© 2016 Xavier PARIDAENS
Tous droits réservés
Designed by Dental the Practice Team
La fréquence de détartrage est très variable d'une personne à l'autre. La vitesse de formation dépend essentiellement de la qualité du brossage. La fréquence nécessaire de détartrage pourra varier de tous les 3 mois à plusieurs années.
 
Le détartrage ne permet pas le blanchiment dentaire, il ne fait que supprimer le calcaire peu esthétique et pathogène qui recouvre l'organe dentaire.
 
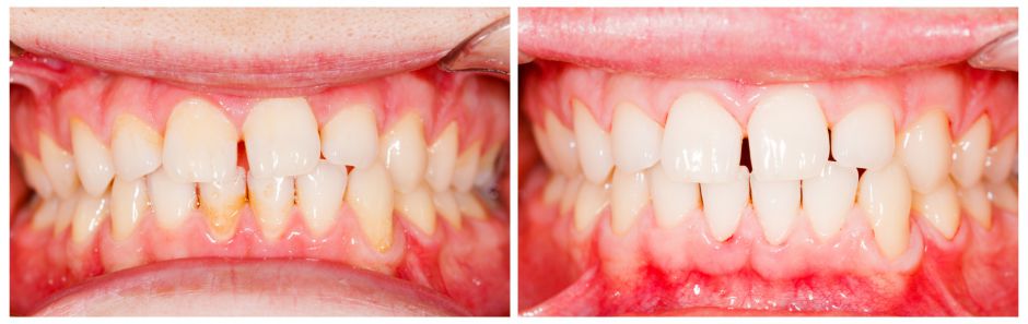
L'airflow peut-être répété plusieurs fois par an pour éliminer les tâches disgracieuses de café, thé ou de tabac.
L'airflow, l'aéro-surfaçage ou sablage
 
     La technique de l'airflow consiste en un jet eau et de fines particules de carbonate de calcium. Ce dernier est projeté directement sur les dents par l'intermédiaire d'une buse. Il sert particulièrement à éliminer les tâches de couleur sur les dents.
 
Le polissage
 
Une séance de détartrage se clôt par le passage d'une cupule ou d'une brossette rotative enduite d'une pâte qui permet d'obtenir l'élimination des dernières taches et rugosités
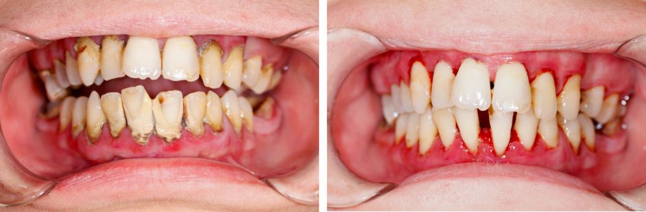
Le détartreur  à ultrasons est le moyen le plus utilisé. C'est généralement indolore, selon la sensibilité du patient, le dentiste peut faire une anesthésie locale ; et comporte très peu d'effets secondaires.
 
Un fin embout métallique vibrant à haute fréquence est passé sur les surfaces dentaires recouvertes de tartre, ce qui permet de le décoller. Cet instrument est constamment irrigué, ce qui permet à la fois de refroidir l'ensemble et d'éliminer le tartre par cavitation.
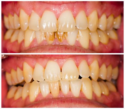
Le détartrage est l'action consistant à enlever le tartre qui s'est accumulé sur les dents. Contrairement à la plaque dentaire, le tartre ne peut être éliminé avec une brosse à dents.
Le détartrage
Accès